缺血性脑卒中早期CT表现
CT扫描是最常用的也是最重要的神经系统疾病检查手段,而熟练正确的认识和掌握急性缺血性脑卒中早期CT征象对神经科医生和急诊科医生均具有重要的临床指导意义,对没有MRI等高级影像设备的基层医院神经科医生更是意义重大。
脑组织水分每增加1%,CT值才降低2.5-2.6HU,所以只在脑水肿达到一定程度,梗死病灶才在CT上显示。因此,脑梗死24小时内的患者,应仔细鉴别早期CT影像学改变。
1经典Tips
超早期脑梗死可以出现以下几种CT征象:
1. 早期低密度:脑梗死的特征性表现,可发生在血流阻断后细胞毒性脑水肿期,临床伴有病变同侧Horner征、双眼凝视麻痹和早期意识状态改变。
2. 皮质、白质分界不清:由于皮层海马和纹状体对缺血最敏感,缺血早期出现低密度改变,使皮质与白质界面呈现模糊均一的低密度影。
3. 豆状核和脑岛带征:CT早期表现为豆状核、岛叶结构界面不清。
4. 脑沟回、脑室和脑池改变:压迫脑沟、蛛网膜下腔,脑室变形和中线移位出现相对较晚,主要与脑组织水肿所产生的占位效应有关。
5. 大血管闭塞后血管密度增加(如“大脑中动脉高密度征”)等。
2临床病例
病例一
患者突发左侧偏瘫,发病后2小时完善头颅CT示:右侧大脑中动脉高密度影(箭号),同时右侧大脑中动脉供血区灰白质对比度降低。发病后4h完善MRA示患者右侧大脑中动脉闭塞,DWI显示整个右侧大脑中动脉供血区高信号影。
病例二
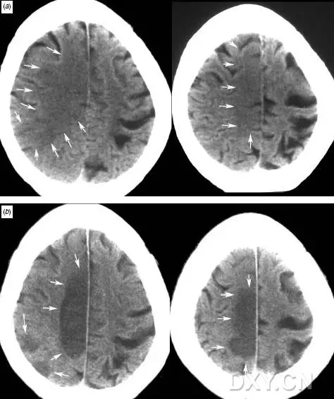
患者突发左侧偏瘫,a图为发病后2小时CT示:右侧脑室受压变形,右侧大脑中动脉供血区皮质水肿、脑回模糊、脑沟变浅或消失;
b图为发病6天后的CT,可见右侧脑室旁皮层下梗死,伴右侧大脑中动脉供血区皮层水肿
病例三
患者突发左侧偏瘫,a图为发病6小时后的CT,可见右侧胼胝体周围动脉和大脑中动脉的一个分支供血区组织密度轻度降低、脑沟消失、大脑镰轻度左偏;b图为发病3天后的CT显示以上对应区域明显脑梗死表现。

本文转载自丁香园神经版块,作者系丁香园站友yujintai。仅供信息传播,版权归原作者所有!